Receive the latest updates from Matrix Medical in real time to understand product information.
The following article is from the arterial network, written by Chen Jie
In November 2023, Ju Zheng Medical's coronary artery remodeling catheter completed its first clinical enrollment. The team led by Academician Wang Jian'an from the Second Affiliated Hospital of Zhejiang University School of Medicine (hereinafter referred to as "Zhejiang University Second Hospital") successfully applied the world's first coronary artery remodeling catheter to treat a 60 year old coronary heart disease patient, effectively achieving vascular recanalization without residual stenosis or dissection.

Professor Li Changling's surgical operation diagram
The Ju Zheng Medical team took the lead in introducing photocrosslinking technology into the field of coronary artery treatment and developed the world's first coronary artery remodeling catheter that has entered the clinical stage. This technology is combined with traditional drug balloon technology to deliver photosensitive materials to diseased blood vessels, and uses laser activation of photosensitive materials to induce photo crosslinking reactions in the extracellular matrix, constructing micro crosslinked structures, reducing rebound, and leaving no foreign objects after removing the balloon, truly achieving "intervention without implantation".
The clinical application advantages of coronary artery remodeling catheter as a new treatment product are:
1、Reduce damage during vascular intervention surgery;
2、Inhibit the elastic contraction of the vascular wall and the formation of dissection;
3、Maintain the natural anatomical structure and physiological characteristics of the vascular lumen.
Coronary artery remodeling catheter treatment for 60 year old patients with primary coronary artery disease, achieving no residual stenosis
It is reported that the patient undergoing this clinical surgery is a 60 year old male with a history of hypertension. One month ago, the patient experienced chest tightness and shortness of breath after physical activity, which lasted for about 3 minutes and was relieved after rest. Seek further diagnosis and treatment at Zhejiang University Second Hospital. After diagnosis, the patient has primary coronary artery stenosis. He had a history of hypertension, diabetes and gout for several years.
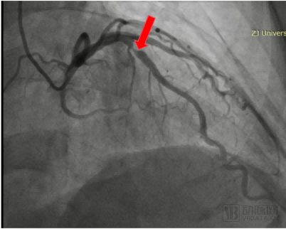
Preoperative angiography showed a lesion with a diameter of 3.50mm, a length of 12mm, a stenosis degree of 90%, and TIMI blood flow grade 3 in the middle segment of the patient's anterior descending artery (LAD). After evaluation by the team of Academician Wang Jian'an, it has been decided to use coronary artery remodeling catheters to treat patients with LAD.

Preoperative angiography of patient's LAD
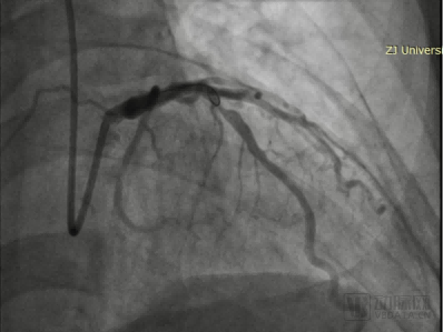
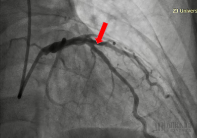
During the surgery, Academician Wang Jian'an's team first used a 3.0 × 13mm spinous process balloon to pre dilate the diseased blood vessel. Subsequently, a 3.5 × 15mm rectangular coronary artery remodeling catheter was used to dilate the blood vessels at 10atm and initiate laser therapy. Postoperative imaging showed good dilation effect, no residual stenosis or dissection, TIMI blood flow level 3, and the surgery was successfully completed.

Guide wire passes through the patient's lesion site

Postoperative angiography of patients with LAD
Professor Li Changling, the attending physician of the Department of Cardiology at Zhejiang University Second Hospital, mentioned: "This type of vascular disease is relatively common in clinical practice, and conventional instrument treatment often leads to dissection. However, the patient did not develop dissection after undergoing coronary artery remodeling catheter dilation treatment. In addition, the entire surgical process did not change significantly, only adding the step of laser activation. Coronary artery remodeling catheter intervention is simple, and doctors can quickly master it and use new technologies to perform the surgery more efficiently
The coronary artery remodeling catheter achieves a dual effect of "balloon dilation" and "in-situ healing", significantly improving the treatment efficiency of coronary heart disease and effectively suppressing the risks of dissection and vascular rebound, improving long-term prognosis. There is no need to change the operation process of balloon intervention therapy during surgery, and the learning curve for doctors is short. There are various specifications of coronary artery remodeling catheters, which can be used for various indications such as primary coronary lesions, in stent restenosis, and post balloon restenosis, meeting different clinical needs.
In the process of clinical research, coronary artery remodeling catheters have shown excellent performance and their application value has been unanimously recognized by experts. Academician Wang Jian'an from the Second Academy of Zhejiang University mentioned, "Guided by the concept of interventional non implantation, coronary artery remodeling catheters have opened up a new technological direction, and we look forward to the clinical effects in the future
Director Jiang Jun of the Department of Cardiology at Zhejiang University Second Hospital said, "For older patients with coronary artery disease and severe stenosis, doctors not only need to consider short-term treatment effects, but also evaluate long-term prognosis. Simple drug balloon dilation may pose risks such as dissection and restenosis, and coronary artery remodeling catheters provide more choices for clinical practice
With the successful completion of the first clinical trial, the coronary artery remodeling catheter has officially started clinical trials, with Academician Wang Jian'an serving as the PI. Clinical research will be conducted in more than ten hospitals across the country, and the clinical trial is expected to be completed by 2025.
Intervention without implantation, coronary artery remodeling catheter can meet the requirements of efficient and seamless treatment
China's PCI technology is gradually maturing, with an annual surgical volume exceeding one million. The comprehensive demand for "efficient and seamless" treatment of coronary heart disease in clinical practice is increasing day by day. Long term implantation of existing metal stents in the human body may pose risks such as restenosis and thrombosis within the stent; Drug balloons have problems such as residual stenosis and vascular rebound after dilation; The specifications of absorbable stent products are limited and more suitable for patients with relatively simple conditions. Driven by clinical demand, Juzheng Medical has embarked on a differentiated path by launching the first coronary artery remodeling catheter in China, which meets the advantages of "long-term support" for stents and "no implantation" for balloon interventions.
The combination of drug balloon technology and photocrosslinking technology is a major innovation in drug balloon technology, "commented researcher Xi Tingfei, former director of the Biomedical Materials and Tissue Engineering Center at Peking University's Frontier Interdisciplinary Research Institute." Once clinically proven, this technology will usher in a new round of research and development boom in the field of coronary intervention therapy, and will also promote further development of coronary intervention therapy
Create a series of vascular remodeling catheters, covering coronary arteries, nerves, and peripheral interventional treatments
Currently, only one American company, Alucent Biomedical, is developing vascular remodeling catheters for the treatment of peripheral arterial disease. It has previously received FDA approval for two IDE studies, one for the treatment of peripheral vascular disease and the other for the treatment of arteriovenous fistula (AVF) in patients with end-stage kidney disease. Juzheng Medical is the first enterprise in China to develop vascular remodeling catheters, and has taken the lead in pushing coronary vascular remodeling catheters into clinical practice. The team has profound technical accumulation and rich industrialization experience.
On the basis of the underlying technology platform, Juzheng Medical has developed a series of vascular remodeling catheter products, which can cover scenarios such as coronary arteries, nerves, peripheral and natural lumens, targeting a larger intervention market. At present, the company's peripheral and neurointerventional vascular remodeling catheters have completed type testing and will gradually enter clinical practice.
Innovation is the core competitive element that remains unchanged in the medical device market. Guided by innovative development concepts, Juzheng Medical has broken the domestic gap in vascular remodeling catheter products, rapidly promoted multiple product lines, and maintained a first mover advantage. The company will also leverage innovation to realize its own value as a medical enterprise and provide better assistance to patients.

Wang Jian'an, currently a member of the 14th CPPCC National Committee, director of the National Key Laboratory of Transvascular Implantation Devices, director of the Institute of Cardiovascular Disease of Zhejiang University, secretary of the Party Committee and director of the Heart Center of the Second Affiliated Hospital of Zhejiang University School of Medicine, vice president (concurrently) of Zhejiang University School of Medicine, doctoral supervisor, was elected as an academician of the CAS Member in 2023.
Matrix Medical
Matrix Medical was founded in August 2021 by a renowned team of scientists in the field of biomaterials in China. It is committed to developing revolutionary medical devices for vascular intervention therapy, providing new treatment methods for patients with cardiovascular and cerebrovascular diseases. At present, it has been awarded the honorary recognition of National High tech Enterprise, National Science and Technology oriented Small and Medium sized Enterprise, Provincial Science and Technology oriented Small and Medium sized Enterprise, and Provincial Innovation oriented Small and Medium sized Enterprise, and has an empowering platform provided by the Municipal High tech Research and Development Center.
Juzheng Medical has accumulated nearly 100 million yuan in top tier strategic industry capital investments in the industry, including Yisheng Capital, Taiyu Investment, and Hetang Venture Capital.
About Yisheng Capital
Yisheng Capital focuses on early-stage equity investment in high-end medical device entrepreneurship projects with original technology. The management team has a profound background in the medical industry, extensive industry resources, and rich experience in venture capital. With the support of numerous influential clinical academicians, industry elites, and medical innovation forces in China, Yisheng Capital continues to pay attention to new technologies and directions in medical devices. With a spirit of craftsmanship, it researches, invests, and cultivates leading technology enterprises, focusing on building an innovation ecosystem dominated by pan vascular medical devices. It is committed to becoming the most professional early investment institution in medical devices.
About Taiyu Investment
Taiyu Investment focuses on equity investments in the early and growth stages of the healthcare industry, with a management team that has a strong industry background, extensive industry resources, and rich investment experience. So far, we have completed investments of 2 billion yuan and over 100 projects, with investment portfolios covering medical devices, biomedicine CRO、 Health Food. Taiyu Investment empowers invested enterprises to create value for the development of the healthcare industry in China and even globally, and contributes to public health.
About Hetang Venture Capital
Hetang Venture Capital was restructured and established in 2014 under the strategic background of promoting the transformation of scientific and technological achievements at Tsinghua University. It is a professional investment management institution mainly focused on early investment of technology innovative enterprises. Hetang Venture Capital focuses on major fields such as life sciences, medical devices, information technology, and modern manufacturing. It has long been dedicated to investing in innovative enterprises with core hard technologies, while also featuring incubation and investment of scientific and technological achievements from universities and top clinical experts in hospitals. Hetang Venture Capital currently manages a fund size of over 3 billion yuan and has invested in more than 80 projects. Two thirds of the projects dominate the segmented market, and more than half of the projects are domestically or internationally pioneering technologies or "firsts", creating good financial returns for fund investors. They have been included in the "Class A Private Equity Investment Fund Managers for Insurance Fund Investment" whitelist released by the China Insurance Asset Management Association.
Article | Chen Jie
WeChat|eveneveneven666
Please indicate: Name - Company - Position when adding
For reprinting on website, official account, etc., please contact authorization:Rekkiiie